Perfect Smile 101: 8 Factors Your Cosmetic Dentist Should Never Overlook

When it comes to smiles, you have your own version of “perfect.” For some, it’s a big, bold smile, while others prefer something more subtle and natural. But achieving your ideal smile isn’t about just picking a look out of a catalog. It’s about considering all the factors that make up your unique smile — from the shape of your teeth to your facial structure, and yes, even your personality.
So, what exactly makes up the perfect smile? Let’s break it down.
1. Shape Matters
One of the first things you need to consider when designing your smile is the shape of your teeth. The shape should complement your face, which means your ideal smile will look different than someone else’s. For example, men often have larger more square-shaped teeth, while women’s teeth tend to have softer, more rounded edges. So, are you after a bold, more striking smile, or would something more delicate suit you better? It’s all about finding the right balance that feels true to you.
If you’re not sure what works best, don’t worry! I’ll guide you through your options and help you decide what shape highlights your best features without overpowering them.
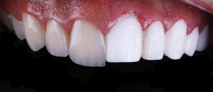
2. The Truth About Tooth Color
Tooth color is one of the most important elements of your smile, and while you may be tempted by ultra-white teeth, it’s crucial to find the right shade that looks natural. Believe it or not, too white teeth don’t look good on anyone because real teeth can never be that white. Those super-white, chiclet teeth? They’re like the Michael Jackson nose job of dentistry — they look completely fake and unnatural, and everyone will know from a mile away that you’ve had dental work.
Instead, you want a shade that complements your skin tone and feels authentic. We’ll help you find that perfect shade that makes your smile look fresh, youthful, and still 100% you. A natural smile is always going to be more beautiful than one that looks artificial.

3. The Ideal Timeline
Perfection doesn’t happen overnight. If you’re planning a smile makeover, you need to be willing to invest time in the process if you want beautiful long-lasting results. Sometimes, achieving your ideal smile means taking extra steps, like using Invisalign to create a better foundation before we even think about veneers or other treatments. This little bit of extra time up front can help you get your dream smile with less drilling and loss of natural tooth. This approach will not only provide you with a more beautiful smile, it also means your dental work will last many years longer and avoid the pain, sensitivity and complications that are common with rushed and overly aggressive dental work.
Remember, it’s not a sprint. The journey to your best smile is personal, and I’ll work with you to set realistic timelines based on what you’re looking for.
4. Facial Structure: Framing Your Smile
Your smile isn’t just about your teeth. It’s about how your smile fits within the rest of your face. When designing your smile, we’ll consider your facial structure to make sure your teeth complement the shape of your face. From the size and angle of your teeth to the way your gums frame your smile, every detail matters.
By getting the proportions just right, we can enhance your natural beauty and even help create a more youthful, balanced appearance.

5. Your Personality Plays a Role
Believe it or not, your personality is a key factor when designing your smile. Are you someone who loves to stand out with a big, bold smile, or do you prefer something more understated? Your smile should reflect who you are.
We’ll talk about what feels authentic to you. If you want a smile that says, “Here I am,” we’ll create something that reflects that confidence. But if you’re going for something more subtle and delicate, we can design a smile that whispers rather than shouts.
6. Creating the Ideal Foundation
Just like a home, your smile needs to be built on a strong healthy foundation, Before diving into cosmetic changes. This is where biomimetic dentistry comes in. It’s like functional medicine for your teeth — we look at the big picture and treat the root cause rather than just the symptoms.
For some, this might mean starting with Invisalign to straighten your teeth and create the right foundation for veneers or other enhancements. Doing this allows us to avoid unnecessary drilling and keep your natural teeth as intact as possible, giving you a beautiful, long-lasting smile with minimal intervention.

7. Working Together for Your Dream Smile
Designing the perfect smile is a collaboration. During your consultation, we’ll talk about what you’re not happy with, what your goals are, and what the ideal smile looks like for you. Think of it like working with a personal stylist — we’ll explore your options for shape, size, and even the angle of your teeth to find what fits you best.
The goal is to create a smile that reflects your individuality and makes you feel confident every time you use it.
8. Less is More: Minimally Invasive Options
At Deering Dental, we believe in preserving as much of your natural tooth structure as possible. That’s why we focus on biomimetic dentistry, using materials and techniques that mimic the natural function and appearance of your teeth.
This means fewer veneers, less drilling, and more emphasis on treatments that protect the health of your teeth for the long haul. Your perfect smile shouldn’t just look good now — it should be built to last.
Your Perfect Smile Awaits: At the end of the day, your perfect smile is about more than just looks. It’s a combination of health, beauty, and you. Whether you’re dreaming of a big transformation or a more subtle enhancement, we’ll work together to make sure your smile is uniquely yours. Let’s create a smile that reflects the best version of you, both inside and out.





